Doenças Tratadas

Aneurismal Cerebral

Aneurismal Cerebral

ANEURISMAS CEREBRAIS Você pode ter um aneurisma cerebral há anos e não saber...
AVC Isquêmico e suas Diferentes Etiologias

AVC Isquêmico e suas Diferentes Etiologias

O AVCi é um acidente vascular cerebral isquêmico, que ocorre quando uma artéria é obstruída e...
DISSECÇÕES DAS ARTÉRIAS CERVICAIS

DISSECÇÕES DAS ARTÉRIAS CERVICAIS

O que é dissecção da artéria cervical? A dissecção da artéria cervical ocorre quando há uma...
Estenose de Carótidas e/ou de Vertebrais

Estenose de Carótidas e/ou de Vertebrais

As artérias carótidas e vertebrais são responsáveis por levar sangue oxigenado do coração...
Fistulas Arteriovenosas Durais Cerebrais e Medulares

Fistulas Arteriovenosas Durais Cerebrais e Medulares

Uma fístula arteriovenosa dural (FAVd) é uma conexão anormal entre uma artéria e uma veia dentro...
Hematoma Sub-Dural Crônico

Hematoma Sub-Dural Crônico

Um hematoma subdural é um tipo de sangramento adjacente ao cérebro que pode ocorrer...
Hipertensão Intracraniana Idiopática/Pseudotumor

Hipertensão Intracraniana Idiopática/Pseudotumor

A hipertensão intracraniana idiopática (HII)/Pseudotumor é o aumento da pressão no crânio. Ocorre...
Malformações Arteriovenosas Cerebrais e Medulares

Malformações Arteriovenosas Cerebrais e Medulares

Uma malformação arteriovenosa (MAV) é um enovelado de artérias e veias sem capilares...
Malformações Vasculares de Cabeça e Pescoço

Malformações Vasculares de Cabeça e Pescoço

Malformações Vasculares de cabeça e pescoço Malformações vasculares, ou alterações anormais nos...
Meningiomas

Meningiomas

Meningioma é um tumor que se forma nas meninges, que são três camadas de tecido que cobrem...
MFVG - Malformação da Veia de Galeno

MFVG - Malformação da Veia de Galeno

O que é uma malformação da veia Galeno? A malformação da veia de Galeno (MFVG) é um tipo de...
Nasoangiofibroma Juvenil

Nasoangiofibroma Juvenil

O Nasoangiofibroma juvenil (NAFJ) refere-se a um tumor não maligno e hipervascularizado...
Retinoblastomas

Retinoblastomas

O Retinoblastoma é um câncer ocular infantil. É raro e tem uma taxa de sobrevivência geral muito...
Síndrome de Vasoconstrição Cerebral Reversível

Síndrome de Vasoconstrição Cerebral Reversível

O que é a síndrome de vasoconstrição cerebral reversível (SVCR)? A síndrome de vasoconstrição...
Tinidus Pulsátil

Tinidus Pulsátil

O zumbido pulsátil é uma forma rara de zumbido. Pessoas com zumbido pulsátil ouvem ruídos que...
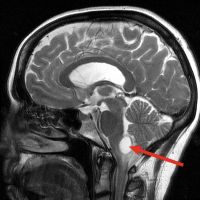
Trombose Venosa Cerebral

Trombose Venosa Cerebral

A trombose do seio venoso cerebral (TVC) é um coágulo sanguíneo raro em uma das veias do...
Tumores Do Corpo Carotídeo e outros Paragangliomas

Tumores Do Corpo Carotídeo e outros Paragangliomas

Um tumor no corpo carotídeo parece assustador. E embora a maioria (90%) não seja cancerosa,...
Tumores Hipervasculares da Cabeça e Pescoço

Tumores Hipervasculares da Cabeça e Pescoço

A neurorradiologia intervencionista (NRI) é uma área de atuação com diversas possibilidades de...

Agende aqui sua Consulta

Atendimento no Consultório – Dr. Leonardo Zibetti Sganzerla

Atendimento no Consultório

No consultório do Dr. Leonardo Zibetti Sganzerla, oferecemos um atendimento exclusivo e atencioso, pois sabemos que quem nos procura precisa de atenção especializada e um acompanhamento de alto nível.

Nosso consultório está localizado em Curitiba (PR), na Rua Raphael Papa, 10 – Jardim Social (CEP 82530-190), garantindo fácil acesso e um ambiente tranquilo e discreto.

Desde o primeiro contato, o paciente recebe um atendimento facilitado. No agendamento, é enviado um Manual do Paciente, com todas as orientações sobre a consulta. Na chegada ao consultório, entregamos instruções detalhadas Pré e Pós-Consulta, garantindo que o paciente esteja bem informado sobre cada etapa do seu atendimento e tratamento.

As consultas são realizadas sempre pontualmente, com tempo adequado para um atendimento humanizado, sem pressa. Nosso objetivo é proporcionar um atendimento exclusivo, cuidadoso e altamente especializado. Além disso, recomendamos os melhores profissionais e locais para a realização de exames, sempre que necessário.

Atendimento por Teleconsulta

A Telemedicina permite que pacientes de qualquer parte do Brasil e do mundo possam se consultar com o Dr. Leonardo Zibetti Sganzerla com segurança, praticidade e o mesmo atendimento exclusivo e atencioso do consultório presencial.

As consultas são registradas em prontuário clínico e, quando necessário, receitas médicas e exames são emitidos digitalmente com assinatura eletrônica certificada.

Assim como no atendimento presencial, o paciente recebe um Manual com orientações antes da consulta e, minutos antes do horário agendado, o link para o atendimento online. Nossa equipe auxilia em todo o processo, garantindo que tudo ocorra de forma tranquila e organizada.

A consulta online é altamente eficiente, proporcionando um atendimento especializado, exclusivo e atencioso, sem que o paciente precise sair de casa.

Endovasculare

Dr. Leonardo Zibetti Sganzerla

Rua Raphael Papa 10 - Jardim Social
Curitiba (PR) - CEP 82530-190

Neurorradiologista Intervencionista nos seguintes Hospitais:

Curitiba (PR)
  • Hospital Marcelino Champagnat
  • Hospital Cruz Vermelha
  • Hospital das Nações
  • Hospital Santa Cruz
  • Hospital Vita
  • Hospital São Lucas
  • Hospital São Vicente
  • Hospital Nossa Senhora das Graças
  • HUEM (Hospital Evangélico Mackenzie)
  • HC-UFPR (Hospital das Clínicas da UFPR)
Guarapuava (PR)
  • Hospital São Vicente de Paulo
Logo Endovasculare